0120-469-117
診療時間
9:00~12:00/14:00~18:00
土曜:17:00まで
休診日
水曜、日曜/祝日
24時間WEB予約

症例紹介 CASE

カテゴリー:

審美歯科

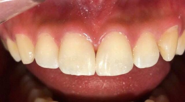
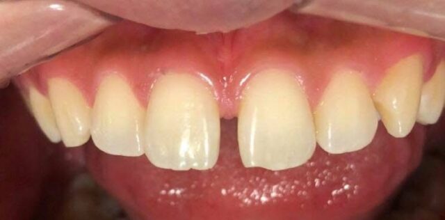
正中離開をダイレクトボンディングで対応した症例

Before

After

症例情報

主訴 前歯の隙間を治したい。
診断名 正中離開
年齢・性別 30才 男性
治療期間・回数 1日 一回
治療方法 ダイレクトボンディングによる接着修復
費用 4万円x2本 (税別)
デメリット・注意点 経年劣化する事がありますが、簡単な研磨でほぼ対応出来ます。
ページトップへ