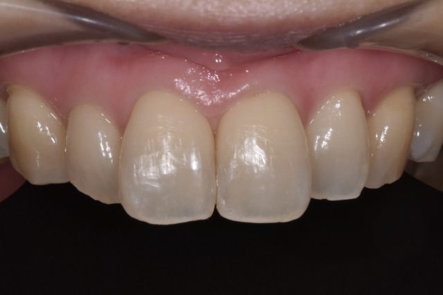
前歯の白濁
前歯が部分的に白くなっている。
実はこれ虫歯だったところなんです。
テレビとかど聞いた事あるかも知れませんが再石灰化した部分なんです。
歯はその大部分を象牙質という有機質で出来ていて歯茎から出ている部分はエナメル質という無機質で覆われています。
エナメル質はエナメルコアとエナメル鞘が規則正しく並んでいて光を透過して半透明になっています。
虫歯になるとその構造が破壊されて再石灰化しても綺麗な配列は崩れたまま、光が乱反射を起こすため白濁してみえるのです。
なのでこの部分はどんなにその後歯を磨いても元には戻りません。
当院では、その部分を削り透明なレジンを充填することによって元の綺麗な歯を再現しています。
今まで治らないと諦めていた方、気になされていた方は一度相談にいらしてください。


