カテゴリー:
スタッフブログ
生態模倣学
生態模倣学 バイオミメティックスとは自然の構造や形態を模倣することにより新しい技術の開発や物造りに活かす科学技術の学問です。
例えば新幹線500系の先端の形はカワセミのくちばしの形を真似して作られました。カワセミが空中から水中に飛び込む様子から新幹線がトンネルに入る時の衝撃を弱めるための参考にしたのです。
また注射針は蚊の口吻の形状と機能を模倣しており皮膚や粘膜に刺入する際の抵抗を減らし痛みを軽減しています。
テープの粘着力を上げるためにヤモリの足裏の微細な構造を模倣したり、水の抵抗を減らすためにサメの皮膚の構造を模倣して競泳用水着が開発されています。
このように生物が長い進化の過程で培ってきた優れた仕組みは人間が発想するもの以上の性能機能を持ち合わせていることが多いのです。
また進化の過程の中で変わらないもの それは本来そのものが存続する上で最も適した形状と言えると思います。
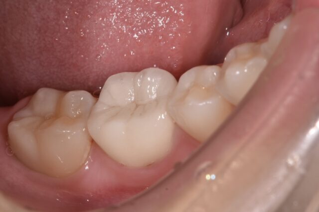
歯科界で言えばその代表と言えるのは歯の形態です。
下顎の第一大臼歯の特徴的な形態は、ドリオピテクスと呼ばれ1000万年以上前から維持され続けています。
その意味はまだ解明されていませんが、それは我々が気づけていないだけであって非常に重要な機能があるのでしょう。
ですので我々歯科医師は治療する際には可能な限り天然の歯牙形態を模倣することが重要であると考えています。
当院ではその形態を忠実に再現できる歯科技工士と仕事することにより機能的かつ審美的な被せ物(補綴物)を提供しております。


